NET-PDD
The development of dementia is a devastating aspect of Parkinson's disease (PD), affecting nearly half of patients within 10 years post-diagnosis. The key mechanisms that determine why some people with PD develop early dementia, while others remain cognitively unaffected, need to be understood for effective therapies to prevent and slow progression to PD dementia (PDD). Neuroinflammation and tau protein accumulation have been demonstrated in PD brains as well as in other neurodegenerative diseases associated with dementia, and we hypothesised that these might be important factors driving progression to dementia in PD. The 'Neuroinflammation and Tau Accumulation in Parkinson's Disease Dementia' (NET-PDD) study set out to explore this by measuring a multitude of measures of immune activation, inflammation and protein aggregation in newly diagnosed PD participants, comparing a group at high dementia risk with a group at low dementia risk as well as age- and sex-matched controls. Participants are being followed up over time to assess the development and progression of cognitive impairment and to track changes in inflammatory and protein markers over time. The methods we are using include: PET/MR neuroimaging with ligands to assess neuroinflammation and accumulation; Mesoscale Discovery electrochemiluminescence technology to analyse inflammatory cytokines in the blood and CSF; flow cytometry to measure immune cell populations in the blood and CSF; and functional T-cell assays to determine antigen-specific responses over time.
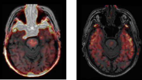
PET/MR brain scans in a person with Parkinson’s disease, using the tracer [11C]PK11195 as a marker of neuroinflammation (left image), and [18F]AV1451 as a marker of tau accumulation (right image)
Preparing T-cell stimulation assays in the lab
This study has received funding from the Medical Research Council and the Evelyn Trust, and is supported by the NIHR Cambridge Biomedical Research Centre.